カートの中身を見る
×
ショッピングカート
ログイン
Japanese |
English
ご意見・ご要望
更新情報
関連サイト
リソース
遺伝子変異株
概要
検索
MEコレクション
JEコレクション
IH E.coliミュータントコレクション
培養条件
マーカーリスト
遺伝子クローン
ASKAクローン
概要
検索
ASKAクローン(-)
ASKAクローン(+)
Gatewayエントリークローンライブラリー
概要
検索
リスト
Mobile Plasmid コレクション
概要
検索
リスト
Cosmid Collection
検索
リスト
pLC Plasmid
検索
リスト
網羅的変異株
Keio コレクション
概要
検索
リスト
広域欠失株コレクション
概要
検索
リスト
NIG広域欠失株コレクション(NEDO事業成果)
概要
検索
リスト
トランスポゾン挿入変異株
概要
検索
トランスポゾン挿入変異株
トランスポゾン挿入変異株 (シス部分2倍体株)
Phage
検索
リスト
Cloning Vector
概要
Cloning Vector コレクション
検索
リスト
宿主株
HoSeI法
抗体コレクション
検索
リスト
TSS溶液
分譲依頼
分譲申し込みの流れ
分譲依頼方法
料金表
発送について
成果発表時のお願い
MTAサンプル
MTA Form1サンプル
MTA Form3サンプル
MTAサンプル
MTA Keioサンプル
MTA Gateway Libraryサンプル
ダウンロード
よくある質問
お問い合わせ
Tracking System
ホーム
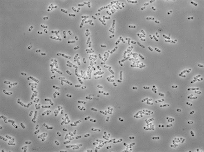
> Keio コレクション > Cell Shape Image
×
エラー
JavaScriptが無効の場合、正常に動作しません。JavaScriptを有効にしてください。
このページではJavaScriptを使用しています。JavaScriptを有効にしてからご利用ください。
Image
- JW397
8-KC
This photo
graph
by NIG (Nati
onal Insti
tute of Genet
ics, Genet
ic Strai
ns Resea
rch Cente
r) is licen
sed under
a
Creat
ive Commo
ns Attri
butio
n-Non
Comme
rcial
-NoDe
rive 3.0 Unpor
ted Licen
se
.
/ecoli/strain