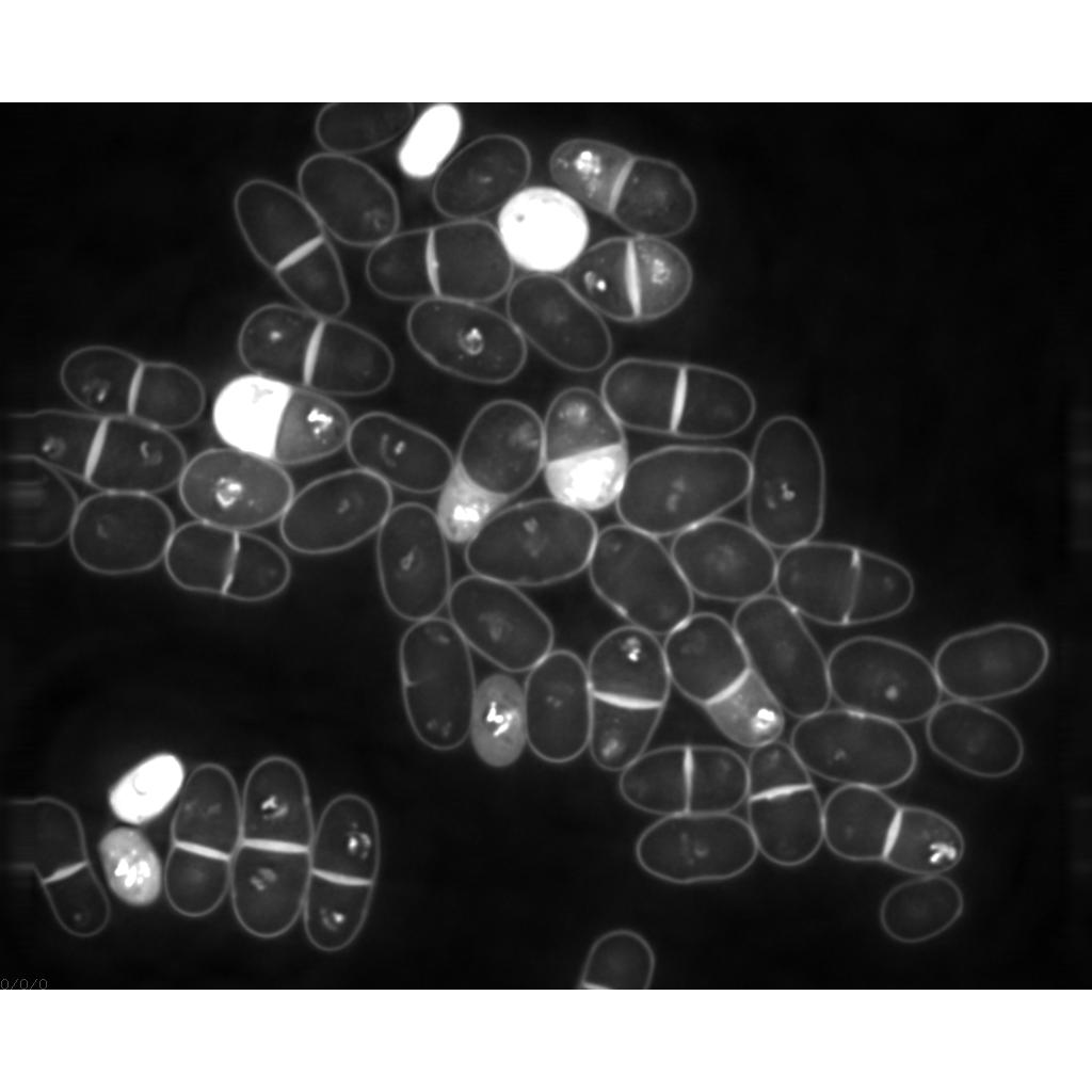
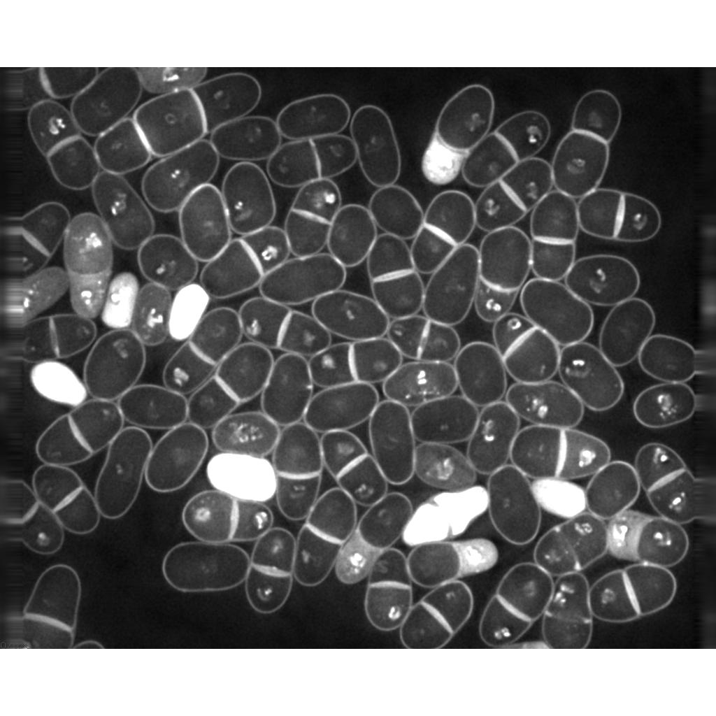
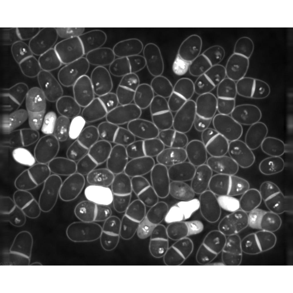
ts229

1) DAPI phenotype

2) Features/comments

cell 164
septum 80
phenotype1
phenotype2+2

全体的に核がかなり凝縮しているようにみえる。

3) UV sensitivity

CPT sensitivity